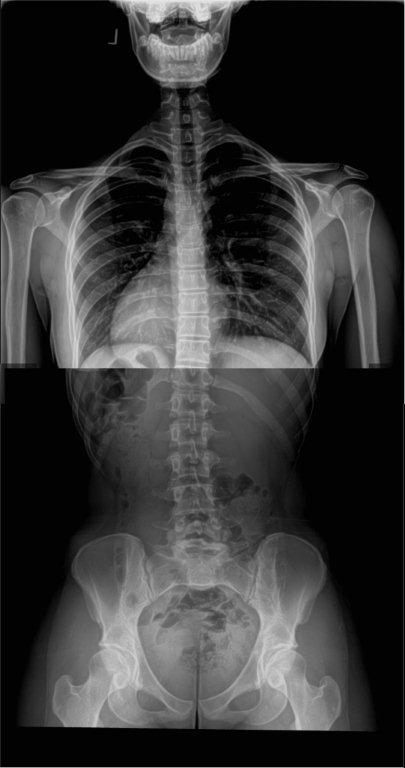
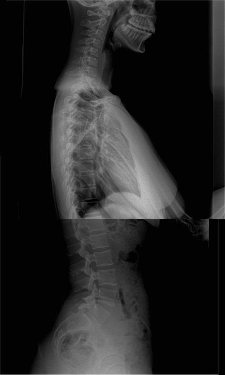
Along with my malalignment story, I would like to share some details pertaining to my daughter, Ally, at age 18 regarding her SI dysfunction and its related malalignment syndrome . Click on X-rays to enlarge.
Here are the diagnostic findings on her full spine x-rays provided by Dwyer Chiropractic Center:
- Sacral apex angle of 24 degrees (normal is 45 degrees)
- 6 degree angle on L5 (normal is 10-15)
- 1mm of anterior rotation and 7 mm of internal rotation on her left ilium
- 4mm of posterior rotation on her left side of sacrum
- Mild left lateral curve in her lumbar region, even leg length upon analysis (also confirmed by prior limb length study), reverse cervical curve
IMPRESSION:
- Left pelvic subluxation
- Posterior and Inferior L5 subluxation
- Posterior sacral apex with left posterior rotation
- Healed L3 spinous tip fracture
- Reverse cervical curve with anterior head carriage
As I write, I first want to say how extremely grateful I am to the chiropractic profession. Without chiropractors and of course physical therapists too, my daughter would have never been able to compete for 8 years in competitive all-around ladies gymnastics. Click on photos to enlarge.
The extreme stress that gymnasts endure eventually shows up in the spine. Well here we are. How many times do you need to fall on your buttocks before the SI ligaments start to get weakened, stretched, or in a torque position on top of already being pre-disposed to hypermobility. My daughter has low back pain that radiates in to her distal sacral region. At no more than 2 weeks she is begging to see the chiropractor as she knows her sacrum is out of place and she can hardly sit. Many times she feels like the joint shifts and she cannot sit even though she just got home from Chiropractor. This is now without doing any gymnastics but living a normal life and now coaching others. She also gets undiagnosed headaches that are suspected from her cervical condition.
My daughter has been raised having chiropractic treatment since 4 days old to correct the first subluxations a child receives when coming into this world. Her birth was a normal natural home birth. Besides typical minor sports injuries along the way, she has had a surgery to correct a painful bunion on her left foot but did not have one on her right foot. One foot/ankle specialist originally thought a limb length discrepancy created this problem but that was not true. Special limb length x-rays were done to prove otherwise. Yes she pronated more on her left foot and prior custom orthotics had been made and she always wore high-quality tennis shoes prescribed by the foot/ankle specialists. Needless to say, the bunion surgery was an absolute success and my daughter can enjoy more fashionable foot ware these days on special occasions.
So I now ask the question, “Why was one foot more pronated than the other foot? Why wasn’t the pelvic sacral/alignment considered an issue when limb lengths were even?” The Sacroiliac joint is a weight bearing joint that does move and does get stuck out of true neutral position; hence, the reason for a chiropractor to adjust it back into position. In the earlier stages of SI dysfunction, we don’t necessarily feel that we are out of neutral. So we go on in life exercising and building muscles upon a mal-aligned joint. After a while, these muscles then end up pulling the joint back out of alignment after a chiropractor adjusts the joint. It gets to the point where you don’t stay aligned long enough to even drop to the floor and start immediate back stabilization exercises to help your body keep what the chiropractor has just done for you. It truly becomes a vicious circle. I’ve lived it for over 20 years. And now the problem manifesting in my daughter too.
This brings me to the point of SI-instability/dysfunction creating malalignment in her body both proximally up her spine and distally down her legs. For those that want a professional article, I highly encourage you to go to this link for the more technical background to my story.
Here is link to a research article: http://www.sidysfunction.com/pdfs/Medical-Malalignment.pdf
There is a section on the asymmetry of lower extremity orientation starting on pg. 6 of the above report.
At the time of this writing, I am starting to further get my daughter diagnosed and hope to take her to Gainesville Physical Therapy one day in the future for Vicki Sims to give her a complete SI joint evaluation. I had one doctor tell me to have my daughter work on core strength. Well I took her to a physical therapist and she passed with flying colors on core strength. After all, she is proud of what she calls her 6-pack abs. I sure hope you have core strength along with shoulder strength to stabilize your body in hand stand positions on balance beams and uneven bars. Anyhow the point is this, you can have strength yet be walking around with an SI dysfunction. I, myself, was highly functional during all my years leading up to my SI surgery. However pain patterns, set in till the point of needing narcotics and I was desperate for an answer. Knowing myself, I for sure relate to the first 3 features and all of the findings listed below in the research article. I have permission to quote from the above research article as follows:
The malalignment syndrome is characterized by the following features:
- Distortion of the pelvic ring
- Associated changes in the alignment of the axial and appendicular skeleton, so that there appears to be a reorientation of the body from head to foot
- Compensatory changes in the soft tissue structures
- Occasionally also visceral involvement, affecting the genitourinary, gastrointestinal and reproductive systems.
Diagnosis rests on the findings of:
- asymmetrical alignment of the bones of the pelvis, trunk and extremities
- compensatory curvatures of the spine, with or without associated malrotation of one or more vertebrae
- asymmetrical ranges of motion of the head and neck, trunk, pelvis and joints of the upper and lower extremities
- asymmetrical tension in the muscles, tendons and ligaments
- asymmetrical muscle bulk and strength
- an apparent (functional) leg length difference
- an asymmetrical weight-bearing pattern.
As one may read through the article, I have personally been affected like the diagrams show on pages 7,9 & 10. You name it, I’ve experienced it. I’ve had some form of pain associated with all the following including: Psoas, ITB, Biceps Femoris, slight Patella-Femoral Syndrome, Saphenous nerve near medial left ankle, bi-lateral medial knee burning pain, Peroneal and Tibial nerve compressions, ankle problems, pain between the shoulders, one sided neck tightness, opposite side shoulder issues with impingment, torque on lumbar vertebrae, groin pain, feeling of giving way of left leg upon standing from sitting position.
Along the path of medical research, I did a Google search while cooking in my kitchen one day in Aug. 2012: “ Is pain in biceps femoris related to SI instability?” And behold (Thank the Lord!) I found the website: www.sidysfunction.com and the above article is one of many medical articles on this site. I found my answer to all my bio-mechanical issues that seemed to fall under the radar of standard diagnostic testing.
It is my personal opinion that when a chiropractor has to continually adjust the SI joints/ilium/sacrum that we as patients need to pay attention. Or better yet get Vicki Sims’s book entitled: “The Secret Cause Of Low Back Pain, How To End Your Suffering “ on her website. Discuss with your chiropractor and/or physical therapist the need to get a handle on your SI Instability before it has control over your entire body. My SI-instability had its hold on my entire body till the point of needing the Percutaneous Bi-lateral Fixation Without Fusion Surgery or I guess live a life on narcotics. That is everyone’s choice. My choice was surgery and I truly have a new lease on life. Some people unknowingly (or should I say cannot get diagnosed properly earlier on in their symptoms) continue on in dysfunction till the point of such Degenerative Joint Disease of the SI joints that a fixation will not help them and they would need a fusion. Please see website http://www.mysijd.com/ I am extremely grateful for this website as it played a significant role along my medical research journey.
Upon road of recovery from surgery, I will update how I am doing in rehabilitating my mal-alignment related physical issues. Here is a link to my next bog My Malalignment Syndrome.








